پرش به محتویات

پورن و آزادی بیان

یک موضوعی که همیشه با اون درگیر هستم بحث دسترسی به اینترنت آزاد و صنعت پورنوگرافی هست. بیشترین هدف ممکن برای ارایه راهکاری برای انتقال اطلاعات امن و دسترسی به منابع نامحدود در اینترنت برای افزایش دانایی و آگاهی هست. در این میان سایت های پورنوگرافی هم منابعی هستند که فیلترینگ روی آنها وضع شده است ولی هدف و مقصود دسترسی به این سایت ها نبوده است.

دوپامین

شاید مهم ترین تاثیر پورنوگرافی بر مغز انسان تاثیر مستقیم بر سیستم پاداش مغز یا همان دوپامین هست. پورن باعث ترشح بیش از اندازه دوپامین در مغز انسان می شود و با تکرار این عمل، مغز نیاز به سطح بالاتری از تحریک دارد که به همان میزان لذت دست یابد.

ساختار مغز و اتصال به عملکرد مرتبط با مصرف پورنوگرافی: مغز در انجمن (2014)

1) ساعت های بیشتر در هفته / سال های بیشتر از مشاهده پورنو مربوط به کاهش ماده خاکستری در بخش مدار پاداش (striatum) درگیر در انگیزه و تصمیم گیری. ماده خاکستری کاهش یافته در این ناحیه مرتبط با پاداش به معنی ارتباطات عصبی کمتر است. ارتباطات عصبی کمتر در اینجا به فعالیت پاداشی ضعیف تبدیل می شود، یا یک پاسخ خفیف خنده دار که اغلب نامیده می شود کاهش حساسیت. محققان این را به عنوان نشانه ای از تأثیرات در معرض قرار گرفتن در معرض طولانی مدت در رابطه جنسی تفسیر کرده اند. نویسنده سرباز سیمونه کاین گفت::

"این بدان معناست که مصرف منظم پورنوگرافی بیشتر یا کمتر از سیستم پاداش خود استفاده می کند"

2) ارتباط عصبی بین سیستم پاداش و قشر پیشانی با افزایش تماشای پورنو بدتر شد. همانطور که مطالعه توضیح داد،

"اختلال در عملکرد این مدار مربوط به انتخاب های نامناسب رفتاری مانند جستجوی مواد مخدر است ، بدون در نظر گرفتن نتیجه منفی بالقوه."

3) در بیشتر عکسها، فعال شدن سیستم پاداش کمتر در معرض تصاویر جنسی استفاده می شود. توضیح احتمالی این است که کاربران سنگین در نهایت به تحریک بیشتری نیاز دارند تا مدارهای پاداش خود را بسوزانند. کاهش حساسیت، منجر به تحمل، در همه انواع اعتیاد رایج است. گفت: مطالعه،

"این مطابق با این فرضیه است که قرار گرفتن در معرض شدید محرک های پورنوگرافیک منجر به کاهش تنظیم پاسخ عصبی طبیعی به محرک های جنسی می شود."

"این کاملا فرضیه مناسب است که سیستم پاداش آنها نیاز به تحریک رو به رشد است."

https://www.yourbrainonporn.com/fa/relevant-research-and-articles-about-the-studies/porn-use-sex-addiction-studies/brain-structure-and-functional-connectivity-associated-with-pornography-consumption-the-brain-on-porn-2014/

https://www.yourbrainonporn.com/

آیا دوپامین است که منجر به اعتیاد می‌شود؟

تحقیقات کنت سی بریج در سال 2007 نشان داد که دوپامین اصلاً یک ماده لذت‌بخش نیست. دوپامین ماده شیمیایی پاداش است که باعث می‌شود افراد چیزها را «بخواهند»، نه یک ماده لذت‌بخش که باعث شود چیزها را «دوست داشته باشند». البته این پژوهش، فرضیه دوپامین را به‌کلی رد نمی‌کند؛ اما این پرسش جالب را مطرح می‌کند که تجربه لذت در قالب مواد شیمیایی چگونه به نظر می‌رسد؟

مکانیسم اعتیاد به دوپامین به این صورت است که مغز به تدریج به سطح بالای دوپامین عادت می‌کند و برای دستیابی به همان سطح لذت یا رضایت، به محرک‌های قوی‌تر یا بیشتری نیاز پیدا می‌کند. این وابستگی می‌تواند فرد را وادار به تکرار مداوم فعالیت‌های خاص کند، حتی زمانی که این رفتارها به سلامت روانی یا جسمی او آسیب می‌زند..

https://etiad.org/post/%DB%8C%DA%A9-%D8%A7%D8%AF%D8%B9%D8%A7%DB%8C-%D9%86%D8%A7%D8%AF%D8%B1%D8%B3%D8%AA%D8%9B-%D8%A2%DB%8C%D8%A7-%D8%AF%D9%88%D9%BE%D8%A7%D9%85%DB%8C%D9%86-%D8%A7%D8%B3%D8%AA-%DA%A9%D9%87-%D9%85%D9%86%D8%AC/

تغییرات ساختاری در مغز شود

کاهش حجم ماده خاکستری در استریاتوم (caudate nucleus)

پژوهش نشان می‌دهد مصرف پورنوگرافی ممکن است با کاهش حجم ماده خاکستری در نواحی خاصی از مغز و تغییر در اتصالات عملکردی مرتبط باشد.

به نظر می‌رسد این تغییرات می‌توانند به دلیل تحریک شدید سیستم پاداش و کاهش تعدیل پیش‌پیشانی باشند، یا ممکن است پیش‌زمینه‌ای برای جذاب‌تر شدن پورنوگرافی باشند.

مطالعه توسط مؤسسه ماکس پلانک و مدرسه روان‌پزشکی شاریت انجام شده، با مردان 21 تا 45 ساله که هفته‌ای بیش از 4 ساعت پورن می‌بینند.

یافته‌ها نشان می‌دهد مصرف منظم پورن ممکن است سیستم پاداش مغز را "تنبل" کند، و بینندگان روزانه کمتر از بینندگان گاه‌گاهی از محرک‌های جنسی لذت می‌برند.

همچنین، بازار جهانی پورن بیش از 100 میلیارد دلار تخمین زده شده، با ریسک‌هایی مثل نارضایتی جنسی.

پژوهش مرتبط، ارتباط تماشای زیاد پورن با افسردگی و الکل را نشان می‌دهد، مشابه تغییرات مغزی در اعتیاد به کوکائین

این یافته‌ها نشان می‌دهد که مصرف زیاد پورنوگرافی ممکن است به تغییرات پلاستیسیته عصبی منجر شود، به دلیل تحریک شدید سیستم پاداش و کاهش تعدیل پیش‌پیشانی. با این حال، ممکن است این تغییرات پیش‌زمینه‌ای برای جذاب‌تر شدن پورنوگرافی نیز باشند.

https://pubmed.ncbi.nlm.nih.gov/24871202/

پژوهش نشان می‌دهد مصرف زیاد پورنوگرافی ممکن است با کاهش حجم ماده خاکستری در نواحی خاصی از مغز، مانند کائودات راست، مرتبط باشد.

به نظر می‌رسد این تغییرات می‌توانند به دلیل تحریک شدید سیستم پاداش و کاهش تعدیل پیش‌پیشانی باشند، اما ممکن است پیش‌زمینه‌ای برای جذاب‌تر شدن پورنوگرافی نیز باشند.

یافته‌ها پیچیده هستند و نیاز به تحقیقات بیشتری دارند، به‌ویژه در مورد اینکه آیا این تغییرات نتیجه مصرف هستند یا علت آن.

جزئیات مطالعه: این مقاله با عنوان "ساختار مغز و اتصال عملکردی مرتبط با مصرف پورنوگرافی: مغز در حالت پورن" در مجله JAMA Psychiatry منتشر شده است. مطالعه در مؤسسه ماکس پلانک برای توسعه انسانی در برلین، آلمان، با 64 مرد سالم (میانگین سنی 28.9 سال، بازه 21-45 سال) انجام شد. نتایج نشان داد:
ساعات بیشتر مصرف پورنوگرافی در هفته (میانگین 4.09 ساعت، بازه 0-19.5) با کاهش حجم ماده خاکستری در کائودات راست (P < .001) مرتبط است.

فعالیت عملکردی در زمان واکنش به محرک‌های جنسی در پوتامن چپ نیز کاهش یافته است (P < .001).

اتصال عملکردی بین کائودات راست و کورتکس پیش‌پیشانی جانبی چپ با ساعات مصرف پورنوگرافی کاهش داشته است.

https://jamanetwork.com/journals/jamapsychiatry/fullarticle/1874574

$118.1 Billion in Revenues by 2030

Online Adult Entertainment Market to Exceed $118.1 Billion in Revenues by 2030 - Global and Country-Level Analysis by Content, Monetization Model, Interaction, Age Group, and End User

https://www.globenewswire.com/news-release/2024/12/16/2997285/28124/en/Online-Adult-Entertainment-Market-to-Exceed-118-1-Billion-in-Revenues-by-2030-Global-and-Country-Level-Analysis-by-Content-Monetization-Model-Interaction-Age-Group-and-End-User.html

Adult Entertainment Market Report 2025 (Global Edition)

The Global Adult Entertainment market size is USD 58512.2 million in 2023 and will expand at a compound annual growth rate (CAGR) of 5.50% from 2023 to 2030.

https://www.cognitivemarketresearch.com/adult-entertainment-market-report

درآمد صنعت پورن در دنیا

پژوهش نشان می‌دهد درآمد صنعت پورن در جهان برای سال ۲۰۲۵ حدود ۱۰۴ میلیارد دلار است، اما این رقم ممکن است تخمینی باشد.

ارقام مختلف بین ۹۷ تا ۱۰۰ میلیارد دلار برای سال‌های اخیر گزارش شده‌اند، و پیش‌بینی‌ها نشان می‌دهند تا سال ۲۰۳۰ ممکن است به ۱۱۷ میلیارد دلار برسد

بر اساس منابع معتبر مانند Bedbible.com، درآمد جهانی برای سال ۲۰۲۵ حدود ۱۰۴ میلیارد دلار تخمین زده شده است. با این حال، منابع دیگر مانند Gitnux.org رقم ۹۷ میلیارد دلار را برای سال‌های اخیر گزارش کرده‌اند. این تفاوت ممکن است به دلیل روش‌های محاسبه یا تعریف متفاوت از صنعت باشد.

OnlyFans

پژوهش نشان می‌دهد اونلی‌فنز به مالک خود، لئونید رادوینسکی، بیش از ۶۳۰ میلیون دلار سود سهام پرداخت کرده است.

در سال مالی منتهی به نوامبر ۲۰۲۳، سود سهام او ۴۷۲ میلیون دلار بود و مجموع سود از سال ۲۰۲۰ به بیش از ۱ میلیارد دلار رسیده است.

درآمد شرکت در سال ۲۰۲۳ به ۱.۳ میلیارد دلار رسید و سود خالص آن ۶۵۸ میلیون دلار بود.

وضعیت مالی شرکت: اونلی‌فنز، پلتفرمی برای اشتراک‌گذاری محتوای بزرگسالان، در سال ۲۰۲۳ عملکرد مالی قوی‌ای داشت. درآمد آن ۲۰ درصد افزایش یافت و به ۱.۳ میلیارد دلار رسید، در حالی که سود خالص ۲۵ درصد رشد کرد و به ۶۵۸ میلیون دلار رسید.
پرداخت به سازندگان محتوا: شرکت در سال ۲۰۲۳، ۶.۶ میلیارد دلار به سازندگان محتوا پرداخت کرد، که نسبت به سال قبل ۱ میلیارد دلار بیشتر بود. تعداد حساب‌های سازندگان و طرفداران هر دو ۳۰ درصد افزایش یافت.

روسپیگری در ایران

برآوردهای قدیمی، مانند گزارش سال ۲۰۰۲، تعداد پروستیتوها در تهران را حدود ۸۵۰۰۰ نفر تخمین زده‌اند.

گزارش‌ها حاکی از رشد قوادی در سال‌های اخیر هستند، به ویژه در میان زنان و دختران در شرایط اقتصادی سخت.

به دلیل حساسیت موضوع، تخمین دقیق ممکن نیست، اما این پدیده به عنوان یک مشکل اجتماعی مهم شناخته شده است.

وضعیت کلی قوادی در ایران کاملاً غیرقانونی است و مجازات‌های شدیدی مانند زندان یا حتی اعدام برای آن در نظر گرفته شده است. با این حال، این فعالیت به صورت زیرزمینی در شهرهای بزرگ، به ویژه تهران، وجود دارد و اغلب شامل زنان و دختران فراری از خانه‌های فقیر و ناهنجار است.
برآوردهای موجود گزارش‌ها نشان می‌دهند که قوادی در سال‌های اخیر رشد کرده است، به ویژه در میان گروه‌های آسیب‌پذیر. با این حال، به دلیل عدم وجود آمار رسمی، نمی‌توان عدد دقیقی ارائه داد. برآورد سال ۲۰۰۲ نشان می‌دهد که حدود ۸۵۰۰۰ پروستیتو در تهران وجود داشته، اما این رقم ممکن است با وضعیت فعلی متفاوت باشد.

پورن روح را می‌کشد

پورن انگیزه را می‌کشد

پورن ذهن را می‌کشد

پورن تمرکز را می‌کشد

پورن واقعیت را می‌کشد

پورن انرژی را می‌کشد

پورن روابط را می‌کشد

پورن انگیزه را می‌کشد

پورن اعتماد به نفس را می‌کشد

پورن مردانگی را می‌کشد ....

STOP WATCHING PORN

https://x.com/mehrdaddarkmind/status/1976206626806956124

کلاه‌برداری صیغه و رابطه جنسی: وقتی کلاه‌بردار روی حس شرم دست می‌گذارد...

https://x.com/NooshDaroo_web/status/1978136216186028541

۹۵٪ از مردایی که سعی می‌کنند پورن رو ترک کنن، طی چند هفته دوباره بهش برمی‌گردن.

ولی ۵٪ بقیه یه راز رو می‌دونن.

که نه ژنتیکه، نه انگیزه - یه ترفند مخفی مغزیه.

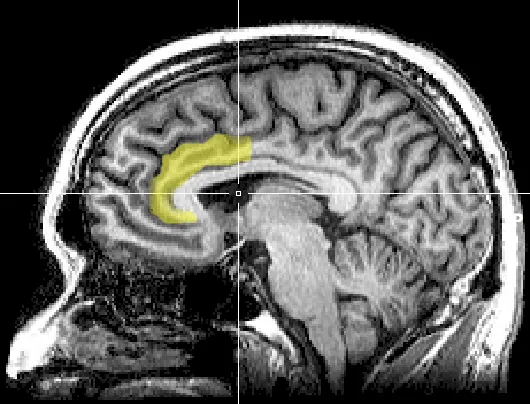
با "کورتکس میانه قدامی" مرکز کنترل اراده آشنا شو

حالا اینجا میفهمی چطور باید اون رو آموزش بدی و برای همیشه ترک کنی:

pic

https://threadreaderapp.com/thread/1991572265792860539.html?utm_campaign=topunroll

بدون اراده، هیچ‌وقت نمی‌تونی پورن رو برای همیشه ترک کنی.

این لازمه اگه میخوای آزادی پایدار داشته باشی.

همه‌چیز از آموزش "کورتکس میانه قدامی" مغزت شروع میشه.

خبر خوب؟

می‌تونی مثل یه عضله اون رو تقویت کنی. کورتکس میانه قدامی وقتی رشد می‌کنه که به طور مداوم کارهای سختی رو که نمی‌خوای انجام بدی، انجام بدی.

هرچی بیشتر از نارضایتی عبور کنی، قوی‌تر میشه.

اما اگه متوقف بشی، کوچیک میشه.

یعنی اراده یه مهارته که می‌تونی یاد بگیری، نه ویژگی‌ای که باهاش به دنیا میای. می‌تونی این بخش رو آموزش بدی که بزرگتر و قوی‌تر بشه.

اما اینجا نکته‌اش پیچیده میشه.

مثلاً ممکنه عاشق وزنه‌زدن باشی،

ولی این به کورتکس میانه قدامیت کمکی نمی‌کنه.

عضلاتت رشد می‌کنن،

ولی اراده‌ات برای ترک پورن قوی‌تر نمیشه. پس حالا باید چی کار کنی؟

عادات روزانه‌ای معرفی کن که واقعاً بد باشن.

نه چیزی که راحت باشه، نه چیزی که دوست نداشته باشی.

بلکه کاری که واقعاً نمی‌خواهی انجام بدی.

این‌ها چندتا عادت هستن که می‌تونی توی روزمره‌ات اضافه کنی: ۱. ناراحتی جسمانی

اگه به باشگاه رفتن عادت داری، اینا رو امتحان کن:

• کوه‌نوردی یا صخره‌نوردی

• دویدن های اینتروال کوتاه

• دوش سرد هر روز صبح

• اضافه کردن یه تمرین جدید که همیشه ازش متنفر بودی

هر چیزی که سخت باشه، فقط به شرطی که ایمن باشه. ۲. ناراحتی ذهنی

ما تو عصری زندگی می‌کنیم که پر از تحریکات اضافی شده.

پس اگه اینا رو توی روزت بگنجی:

• کتاب خوندن به جای اسکرول کردن • پیاده‌روی بدون گوشی و موسیقی • صحبت با آدما تو دنیای واقعی به جای آنلاین نه‌تنها کورتکس میانه قدامیت رو قوی می‌کنی، بلکه زندگیت هم بهتر میشه ۳. عادت‌هایی برای مقابله با وسوسه‌ها

این‌ها مخصوص ترک پورن هستن:

• نفس کشیدن عمیق و آرام • نصب نرم‌افزارهای مسدودکننده سایت‌ها • حذف اپلیکیشن‌های شبکه‌های اجتماعی • درخواست کمک وقتی وسوسه می‌شی

سخته. هوس‌های شدیدی خواهی داشت. اما در بلندمدت، پیروز می‌شی. چرا اینا کار می‌کنن:

اینا کوچیک اما ناراحت‌کننده‌ان، بنابراین بدون غرق شدن یا آسیب به خودت ، اراده‌ت رو تقویت می‌کنی.

همچنین هویتت رو دوباره برنامه‌ریزی می‌کنه و نشون می‌ده که تو کارهای سخت رو انجام میدی.

با ۲-۳ عادت کوچیک روزانه شروع کن، بعد به مرور زمان اون‌ها رو اضافه کن. برو سراغ همون چیزایی که ازش فراری هستی و بهشون نزدیک شو، به جای اینکه بخوای ازشون دوری کنی.

اراده تو لحظاتی ساخته میشه که ترجیح میدی تسلیم بشی، ولی تسلیم نمیشی.

این همون راهه که میتونی پورن رو برای همیشه ترک کنی.

وقتی اراده پیدا کنی، هوس‌ها و تمایلات دیگه اینقدر سخت نخواهد بود اراده یه مهارته که می‌تونی با تمرین و تحمل ناراحتی‌ها به دست بیاری. با انجام عادات سخت و ناخوشایند، مغزت رو برای ترک پورن آماده می‌کنی و در بلندمدت، این عادت‌ها هویت جدیدی از یک فرد مقاوم رو بهت می‌دن.

یاد بگیر که در لحظات سخت تسلیم نشی و به‌جای فرار از چالش‌ها، به سمتشون بری. این مسیر هم برای ترک پورن و هم برای ساختن یه زندگی بهتر کار می‌کنه.

اگر می‌خوای این تغییرات رو برای همیشه در زندگی‌ت ایجاد کنی،

همین حالا صفحه رو فالو کن و بیشتر یاد بگیر.

https://x.com/aradkimiagar/status/1991572265792860539

اگر کودک دارید و میخواید از نظر روحی ازش حفاظت کنید

با ست کردن Dns های زیر روی مودم یا گوشی میتونید محتوا غیراخلاقی یا سایت تبلیغات رو ببندید(پورن) در پنل bpb هم همینطور هم تیک رو فعال کنید بلاک پورن و دامنه ها رو هم بزارید تا بسته شه حتی #فیلترشکن روشنه!

1.1.1.3

1.0.0.3

208.67.222.123

208.67.220.123

94.140.14.15

94.140.15.16

@xsfilternet